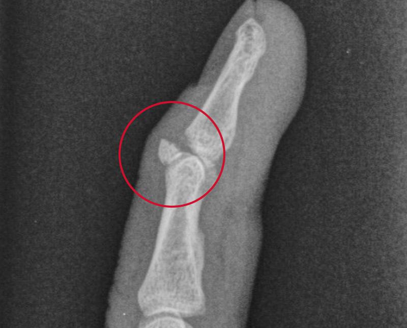
Avulsion Fracture
Avulsion fractures usually happen to young athletes. You might be sprinting, hitting, sliding or doing other sports activities that involve quick movements and sudden changes in direction. A piece of bone attached to a ligament or tendon breaks away from the main part of the bone. It might take up to 12 weeks for you to fully heal.
Overview

What is an avulsion fracture?
An avulsion fracture is where a small piece of bone attached to a tendon or ligament gets pulled away from the main part of the bone. Ligaments hold your bones, joints and organs in place while tendons connect muscles and bones. In an avulsion fracture, your bone moves one way and your tendon or ligament moves in the opposite direction with a broken chunk of bone in tow. This most often happens when you suddenly change direction.
An avulsion fracture can happen to any bone that’s connected to a tendon or ligament. The bones that are most at-risk of an avulsion fracture include:
- Elbow bones.
- Ankle and foot bones.
- Knee bones.
- Finger and wrist bones.
- Pelvis and hip bones.
- Spine bones.
Are avulsion fractures serious?
You might wonder if your injury is serious enough to go to the emergency department. It’s understandably difficult to figure out if your symptoms warrant urgent treatment. But any fracture is serious, including avulsion fractures. Take care of yourself by heading to the emergency department if you think you broke a bone. Professional medical treatment ensures that you'll heal safely and return to your regular routine.
Who do avulsion fractures affect?
People frequently incurring avulsion fractures are athletes and performers such as football players, ballet dancers, gymnasts and skiers. Their activities can involve a lot of sudden changes in direction, leaping and kicking.
However, avulsion fractures can occur in anyone, with injuries similar to sprains such as a twisted ankle.
Avulsion fractures are painful, and an inability to play your favorite sports or do another treasured activity can be painful as well. If you think you’re having issues with your mental or emotional health, let your healthcare provider know. Treatment can help you get through this difficult time.
Symptoms and Causes
What causes avulsion fractures?
Playing sports comes with risks. Contact sports like lacrosse, boxing and football, for example, are the most common causes of avulsion fractures. It’s because contact sports involve movements that stress your limbs, such as:
- Suddenly changing direction.
- Sprinting.
- Kicking.
- Leaping.
- Falling on an outstretched hand.
- Suddenly accelerating (getting faster) or suddenly decelerating (going slower).
- Hitting, as in a boxer or a defensive lineman in a football game hitting an offensive lineman to protect the quarterback.
- Sliding, as in a baseball or softball player sliding into home base.
What are the symptoms of avulsion fractures?
After sudden, severe pain, the most common symptoms of avulsion fractures include:
- Bruising.
- Swelling.
- Muscle pain.
- A popping or cracking sound.
- Pain that spreads to nearby parts of your body.
- Limping or an inability to walk, if the broken bone is in or near your leg.
- Difficulty moving your limb.
Speak with your healthcare provider about all your symptoms. It’s helpful for them to know every detail. You can help them figure out the best treatment plan for you by providing as much information as possible.
Diagnosis and Tests
How are avulsion fractures diagnosed?
Your healthcare providers at the emergency department will discuss your injury with you. They’ll ask you questions and perform tests to help diagnose your avulsion fracture. They'll look over the affected area and see if you can move your bones. After that, there might be imaging tests to get a closer look. Tests might include:
- X-rays to look at your bones and joints.
- Computed tomography (CT scan) to look at your soft tissues and organs and get a more precise view of your bones and joints. This is performed if X-rays are unclear.
What questions might a healthcare provider ask to diagnose avulsion fractures?
Your healthcare providers in the emergency department should ask questions when you arrive. They want to fully understand what happened to you so that you receive the best care possible. Questions might include:
- When were you injured?
- How did you get injured?
- What are your symptoms?
- Did you hear something break?
- What medications do you take?
Tell your healthcare provider every detail. It might help with the diagnosis and treatment.
Management and Treatment
How are avulsion fractures treated?
Treatment depends on which bone broke and the type of avulsion fracture. Generally, treatment for an avulsion fracture includes:
- Immobilization in a cast or splint.
- Anti-inflammatory medications.
- Restriction of activity.
- Icing the area.
- Physical therapy with exercises.
After the pain subsides, your healthcare provider might recommend range-of-motion (ROM) exercises monitored by a physical therapist.
Surgery is occasionally required for severe injuries with joint instability.
How do bones heal?
The stiff tissues that make up your bones begin to heal right after they break. That's why it's so important to immediately align and protect them (that's what a cast does). Your avulsion fracture should heal in just a couple of steps. The steps include:
- Your body creates a blood clot and callus around the fracture. A blood clot is a clump of blood that is more like a gel than a liquid. Firm collagen makes up a callus. The clot forms first, and then the callus replaces it. This protects the broken bones.
- Bone cells grow out of the bone that broke off and also from the main bone. The cells form “threads” that grow outward and towards each other like reaching hands. The threads absorb the callus. The chunk of bone that separated from the main bone gets reattached to its place.
Who needs surgery for an avulsion fracture?
Most avulsion fractures don't require surgery. But suppose you have, for example, an injury where the bone attached to the tendon or ligament is more than 2 centimeters away from the main bone. Your surgeon should perform one of two procedures:
- Open reduction: The surgeon makes an incision (cut) in your body and then realigns your bones.
- Internal fixation: The surgeon uses metal hardware to align your bones permanently. Examples of hardware include pins, plates, screws and rods.
Will I be asleep during surgery?
You may be asleep during your surgery. Your anesthesiologist will provide the most appropriate method such as general anesthesia or regional anesthesia such as an epidural. In either case, you won’t feel anything.
How long does it take to recover from avulsion fractures?
You might need to wear a cast or splint for a few weeks. Fractures usually take about three to 12 weeks to heal completely.
For an avulsion fracture in your pelvis or anywhere else where your healthcare provider can’t apply a cast, a short period of rest followed by crutches is helpful. Your healthcare provider might allow you to apply weight after a few weeks and resume sports activities as tolerable.
Confirm with your healthcare provider about when you can return to sports. You could reinjure yourself if you go back too soon.
Do I need to follow up with a specialist?
You may see an orthopaedist after treatment at the emergency department. Orthopaedists specialize in your skeletal and muscular system. Depending on your injury, you might need to go to an appointment as often as twice a week. Your orthopaedist should monitor your healing and order more X-rays as needed.
Outlook / Prognosis
Can avulsion fractures get worse?
Your avulsion fracture can get worse if you don’t follow your healthcare provider’s advice. Be very careful not to put weight on the fracture until your healthcare provider says it’s OK. You could reinjure yourself.
Can avulsion fractures come back after treatment?
You could get another avulsion fracture in the same place. Take preventative steps to reduce your risk.
Prevention
How can I reduce my risk of avulsion fractures?
It’s difficult to prevent an avulsion fracture, but possible to reduce your risk. Athletes might reduce their risk of an avulsion fracture by taking some helpful steps, including:
- Take five to 10 minutes to stretch and warm up before you practice or play a game.
- Don’t push yourself to do something that might be too difficult for you. Being careful should help you avoid all types of injuries.
Living With
When should I see my healthcare provider?
Go to the emergency department if you think you have a fracture. An avulsion fracture is a serious medical emergency that needs care.
What questions should I ask my healthcare provider about avulsion fractures?
You might find yourself with questions about avulsion fractures and your specific situation. Asking questions can help you understand what happened to you and what happens next. You could ask some of the following questions when you see your healthcare providers:
- Do I need to see a physical therapist?
- Do I need to see another type of specialist?
- How long should I rest?
- How long do I have to wear a cast?
- When can I start using crutches?
- When can I play sports again?
- When can I ski again?
- When can I perform again?
A note from Wockr
An avulsion fracture is a serious injury that can stop you from playing your favorite sports. You’ll need a cast and rest, and possibly surgery. You should follow up with your healthcare providers for help. They'll work with you to help you design your personal plan of care that gets you back to your regular activities.