Buckle Fracture (Impacted Fracture)
Buckle fractures (also called impacted fractures) are a type of broken bone. They’re very common in children under 12, and can almost always be treated with a splint. Your child will not need surgery. Buckle fractures take around a month to heal.
Overview

What is a buckle fracture?
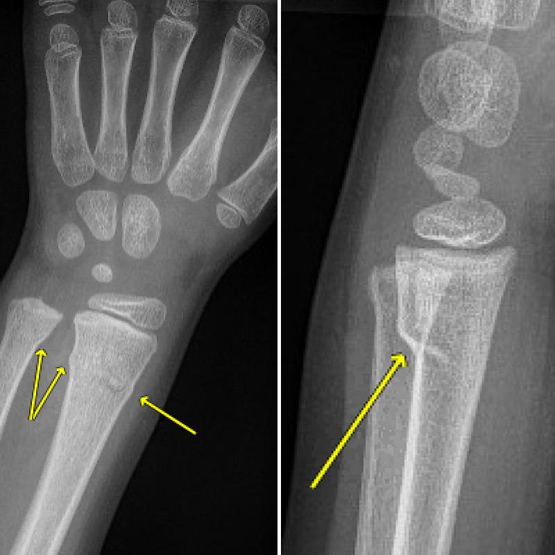
Buckle fractures are a type of broken bone that almost always affects kids. They’re an incomplete fracture, which means the break doesn’t go all the way through the bone. You might see buckle fractures referred to as impacted fractures or torus fractures.
Buckle fractures get their name from how they happen. They’re a compression fracture, which means the break is caused by sudden pressure on a bone. This pressure — usually caused by a fall — pushes on your child’s bone hard enough to bulge it out of place. The pressure “buckles” the bone without snapping it. Picture crushing an aluminum soda can. Pressure forces the can to bulge and collapse in on itself, but it’s still in one piece.
Buckle fractures commonly affect the radius and ulna (the bones that connect your forearm to your wrist), but they can happen to any long bone. Other bones susceptible to buckle fractures include:
- Femur (thigh).
- Tibia (shin).
- Fibula (calf).
- Humerus (upper arm).
Buckle fractures are usually caused by kids falling onto their outstretched arms. They’re very common in children under 12, and can almost always be treated with a splint or cast. Your child will not need surgery, but they will need some form of protection while the bone heals.
Buckle fractures vs. greenstick fractures
Buckle fractures (also known as impacted fractures) and greenstick fractures are different types of incomplete bone fractures. They are different terms that tell your healthcare provider specific details about how your child’s bones are broken, where they broke and what they look like inside their body right now.
Buckle fractures happen when a bone is pressed to the point of bulging out of place. The fracture looks like a bump on a bone.
Greenstick fractures happen when a child’s bone is bent to the point that it cracks but doesn’t break all the way through. If you’ve ever tried to break a green or young stick with your hands, it cracks but doesn’t break cleanly like a dry twig would. That cracking without snapping completely is the difference between greenstick fractures and complete fractures.
Both buckle and greenstick fractures are much more common in children because kids’ bones are softer and more flexible than adults, more like plastic instead of glass or ceramic. That’s why they tend to bend and buckle rather than break.
No matter which names and terms end up applied to your child’s fracture, the most important first step is getting their injury examined by a healthcare provider as soon as possible.
Buckle fractures in hands, fingers and thumbs
Buckle fractures (impacted fractures) almost always affect longer bones in kids’ bodies. They don’t usually affect the small bones in the hands, fingers or thumbs. If your child experiences pain or other symptoms in their hands they might have a sprained or broken finger. Talk to your healthcare provider about any new symptoms.
How common are buckle fractures?
Buckle fractures are very common with 1 in 4 kids who break a bone having a buckle fracture. Half of all pediatric broken wrists are buckle fractures.
Who gets buckle fractures?
Buckle fractures (impacted fractures) almost always affect kids under 12. Kids have softer and more flexible bones than adults because their bodies are still growing and changing. Your bones naturally lose some of that flexibility as you get older. Because kids’ bones are softer than adults', they’re more likely to experience buckle fractures (and other incomplete breaks).
It’s still possible for adults to experience a buckle fracture, it’s just very rare. Adults can get buckle fractures in flat bones like their ribs. People with osteoporosis also have an increased risk for all types of broken bones, including buckle fractures.
Symptoms and Causes
What are the symptoms of a buckle fracture?
Symptoms of a buckle fracture (impacted fracture) include:
- Pain.
- Swelling.
- Tenderness.
- Bruising or discoloration.
- A deformity or bump that’s not usually on your child’s body.
- In young children, favoring one extremity over another (such as playing with toys with only one hand) or not wanting to use the injured body part (such as not moving a leg or wanting to walk) can sometimes be seen with an injured bone.
What causes buckle fractures?
Buckle fractures are most commonly caused by kids catching themselves with outstretched arms after falling. The force of the fall compresses their bone and causes buckle fractures. This is why most buckle fractures (impacted fractures) affect kids’ forearm bones (their radius and ulna).
Diagnosis and Tests
How are buckle fractures diagnosed?
Your healthcare provider will diagnose a buckle fracture with a physical exam and imaging tests.
What tests are done to diagnose a buckle fracture?
After a physical exam, your child will likely need an X-ray to confirm any buckle or other fractures and show how damaged their bones are.
Management and Treatment
How are buckle fractures treated?
Buckle fractures (also known as impacted fractures) are usually treated with a splint. You might see this referred to as immobilization. In some cases, kids may need to wear a cast. Talk to your healthcare provider about which treatment is best for your child. These not only protect your child from reinjury but also can make them more comfortable and relieve their pain.
Most children need to wear a splint for two to three weeks. How long they need a splint depends on how long it takes for their symptoms to improve.
What medications are used to treat buckle fractures?
Over-the-counter NSAIDs like aspirin or ibuprofen are typically all you’ll need to reduce your child’s pain. Your healthcare provider will tell you which medications you can give your child while they heal.
Can a buckle fracture heal on its own?
Even if they’re not as severe as other types of fractures, never ignore symptoms like pain, swelling or tenderness. If your child has an untreated buckle fracture, they might face more serious complications later including:
- Malunion: This happens when broken bones don't line up correctly while they heal.
- Nonunion: Your child’s bones may not grow back together fully or at all.
- Worsening symptoms: If a buckle fracture isn’t treated by a healthcare provider, your child’s symptoms like pain can get worse over time. This will also make it take longer for them to heal.
Complications of buckle fracture treatment
Buckle fracture complications include:
- Reinjury: If your child resumes activities like sports too soon they can reinjure their bone or experience a more serious injury or fracture.
- Other internal damage: Fractures can damage the area around the injury including your muscles, nerves, blood vessels, tendons and ligaments.
Side effects of NSAIDs include:
- Bleeding.
- Ulcers.
- Stomach pain.
- Bowel complications.
How soon after treatment will my child feel better?
Most kids feel better right away after they start using their splint, but it usually takes a few weeks for symptoms to improve completely. Immobilization will hold their bone in place and reduce their pain.
If your child is in intense pain that doesn’t get better contact your healthcare provider right away.
Outlook / Prognosis
What can I expect if my child has a buckle fracture?
You should expect your child to make a full recovery. Buckle fractures are a temporary issue, and your child shouldn’t have any long-term consequences after a buckle fracture.
How long does it take a buckle fracture to heal?
Buckle fractures (impacted fractures) heal very quickly, especially compared to other types of broken bones. Usually, kids only need to wear a splint for 2 to 3 weeks. If their symptoms like pain and tenderness go away, there’s usually no additional treatment or follow up needed.
Will my child need to miss school or activities?
Your child shouldn’t need to miss any school while they heal from their buckle fracture. They should avoid intense physical activities (like sports) for two weeks after their symptoms have completely gone away.
Most kids can resume all their sports and activities in a month. Your healthcare provider will tell you how long your child should avoid certain activities.
Outlook for a buckle fracture
The outlook for buckle fractures is very positive. Your child should make a full recovery and have no long-lasting pain or other symptoms.
Prevention
How can I reduce my child’s risk for buckle fractures?
Follow these general safety tips to reduce your child’s risk of an injury:
- Always wear seatbelts.
- Wear the right protective equipment for all activities and sports.
- Make sure your home and workspace are free from clutter that could trip you or others.
- Always use the proper tools or equipment at home to reach things. Never stand on chairs, tables or countertops.
- Follow a diet and exercise plan that will help them maintain good bone health.
How can I prevent a buckle fracture?
Buckle fractures are usually caused by falls or other accidents, so there’s not much you can to prevent them.
Adults should talk to their provider about a bone density test if they’re older than 50 or if they have a family history of osteoporosis.
Living With
When should I go to the emergency room?
If you think your child has a buckle fracture — or any other broken bone — you need to see a healthcare provider as soon as possible. Go to the emergency room if they experience any of the following:
- Intense pain.
- They can’t move a part of their body they usually can.
- A part of their body is noticeably different looking or out of its usual place.
- You can see their bone through their skin.
- Swelling.
- New bruising that appears at the same time as any of these other symptoms.
Go to the emergency room right away if you’ve experienced trauma.
What questions should I ask my doctor?
- Which bones are fractured?
- Does my child have a buckle fracture or another type of break?
- How long will my child need to wear a splint?
- How long will it take to recover?
- When can they resume physical activities?
A note from Wockr
It’s always scary to know your child is hurt, especially when you hear that it’s a broken bone. Buckle fractures are very treatable and are one of the most common pediatric injuries. That means your healthcare provider will be able to recognize and treat it right away. Help your child understand their injury, and make sure they know why they have to wear a splint and for how long. Make sure they know that their injury is only temporary and they’ll be able to resume all the sports and activities they love as soon as their body heals.