Calcium Score Test
A calcium score test can help your healthcare provider decide if you need treatment to prevent a heart attack or stroke. Test results are most helpful for people who don’t have a clear high or low risk, but are somewhere in the middle. A calcium score test is quick and noninvasive. You can return to normal activities right after the test.
Overview

What is a calcium score test?
A calcium score test is a CT (computed tomography) scan that looks at how much calcium is in your coronary arteries. Calcium in your heart’s arteries can tell you if you have a buildup of a waxy, fatty substance (plaque) that can narrow or block them. This means you could have atherosclerosis (coronary artery disease), which could lead to a heart attack.
Who should get a calcium score test?
A calcium scoring test can assist healthcare providers in making treatment decisions for people with borderline risk of heart disease. Calcium score testing results could help you if you’re between ages 40 and 70 and at increased risk for heart disease but don’t have symptoms.
People at increased risk include those who:
- Have a family history of heart disease.
- Use tobacco products now or in the past.
- Have a history of high cholesterol, diabetes or high blood pressure.
- Have overweight (a body mass index, or BMI, higher than 25) or obesity (a BMI higher than 30).
- Have an inactive lifestyle.
- Have other, nontraditional risk factors.
If you’re younger than 40 years old and high cholesterol runs in your family (familial hypercholesterolemia), you might consider calcium score testing.
Because this scan can’t detect certain forms of coronary disease (such as “soft plaque” atherosclerosis), this test isn’t absolute in predicting your risk for a heart attack or stroke. It’s another tool your provider can use to decide whether you need a statin.
How often should you have a calcium score test?
You may see a benefit from having a calcium score test every three to five years, according to studies. It’s only helpful to repeat a scan if you had a normal score the first time and want to know if your risk is still low. It’s not helpful to repeat the test if you ever had abnormal results before.
Who shouldn’t get a calcium score test?
Pregnant women shouldn’t have a calcium score test because a CT scan could harm a fetus.
A calcium score test may not be helpful if you:
- Don’t have any risk factors for heart disease.
- Have a high risk of heart disease.
- Have a diagnosis of coronary artery disease.
- Have symptoms that may suggest coronary artery disease.
- Had prior treatment for coronary artery disease.
- Want to know if your treatment for heart disease is working.
Talk with your healthcare provider about other types of testing to diagnose or monitor your coronary artery disease.
Test Details
How is a calcium score test done?
A calcium score test uses a CT machine to scan your heart. Areas in your coronary arteries that have calcification show up on the scan. The CT scan takes only a few minutes, but the entire procedure may take about 10 or 15 minutes. This is a noninvasive test.
How do I prepare for a calcium score test?
Before your calcium score test:
- Tell your provider what allergies you have, which medications you take and whether you’re pregnant or could be pregnant.
- Avoid food, drink, caffeine and tobacco products for four hours before your calcium score test.
- You may need to remove any metal on your body, including jewelry and glasses.
- You’ll change into a hospital gown.
- You’ll lie on your back on a special table that slides into the middle of a scanner with a doughnut shape.
- A provider will clean (and possibly shave) three small areas of your chest.
- They’ll place small, sticky electrode patches on the prepared areas. The electrodes attach to an electrocardiogram (EKG) monitor, which charts your heart’s electrical activity during the test and allows providers to time pictures with your heartbeat.
What should I expect during a calcium score test?
During a calcium score test:
- You’ll feel the table under you move inside the scanner.
- You can talk to and hear the person operating the machine in another part of the room. They can see you through a glass section of the wall.
- The high-speed CT scan captures multiple images, synchronized with your heartbeat. You may need to hold your breath for 10 to 20 seconds.
- A sophisticated computer program analyzes the images for calcification within your coronary arteries.
What should I expect after a calcium score test?
After your calcium scoring test, you may continue all normal activities and eat as usual.
What are the risks of a calcium score test? Are there side effects?
A calcium score test doesn’t use an injection of contrast dye, so you don’t have side effects from that.
There’s a very small risk of cancer, especially if you have several CT scans and are younger than 40. A calcium score test exposes you to about the same amount of radiation as you would naturally get in a year.
A CT scan can harm a fetus, so providers don’t recommend this scan for pregnant women.
Results and Follow-Up
What type of results do you get and what do the results mean?
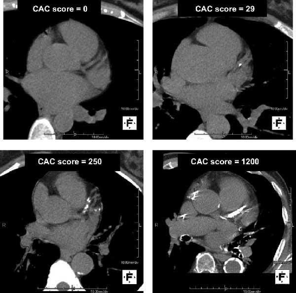
A positive test means the scan found evidence of calcium in your coronary arteries. This means you have coronary artery disease. You’ll also get a number that tells you how much calcium they found.
Your calcium test score tells how much calcium is in your coronary arteries. If you have calcium in your heart’s arteries, the computer will create a calcium score that estimates the extent of coronary artery disease. Your calcium test score can range from zero to more than 1,000.
Anything above zero means there’s some evidence of coronary artery disease (CAD).
Higher scores indicate that you could be at risk for a heart attack. Score cutoffs are:
- 100 or less (mild proof of coronary artery disease).
- Up to 400 (moderate amount of proof that you have CAD).
- Above 400 (strong proof of CAD).
Your healthcare provider will consider your results along with other risk factors to determine your risk for future coronary artery disease.
Other risk factors include your family history, lifestyle habits and medical conditions you have.
What is the normal calcium score?
A normal calcium test score is zero. Healthcare providers also call this a negative scan because it didn’t find any calcification in your heart’s arteries. With this score, you have a very low risk of having a heart attack in the next two to five years. However, keep in mind that your provider will look at your other risk factors for heart disease, as well.
When should I know the results of the calcium score test?
Some hospitals provide results the same day. Others need two days or more. A radiologist reviews the results of the calcium scoring test and shares them with your healthcare provider.
If the results are abnormal, what are the next steps?
Based on the results of the scan, your primary care provider may recommend a visit with a cardiologist (heart specialist). After considering your calcium scoring test and other factors, they may decide that you need to:
- Take a statin to manage your cholesterol level.
- Exercise more often.
- Make changes to your diet.
- Get more tests.
- Have more follow-up visits to monitor your condition.
When should I call my doctor?
Contact your healthcare provider if you haven’t received results in a week. You should also contact them if you have additional questions about your calcium scoring test that you need to clarify.
Additional Common Questions
Does a calcium score test show blocked arteries?
Not exactly. Other tests can show blocked arteries by showing how well blood is flowing through them. A calcium score test shows calcification happening in coronary arteries that have plaque buildup.
A note from Wockr
Calcium score testing is a quick, noninvasive test that can help your provider make decisions about your heart and blood vessel health. Think of it as another source of information they can use. It should be part of several information sources they review when assessing your heart attack and stroke risk. Ask questions if anything isn’t clear when your provider talks with you about your results.