Colles Fracture
You might have a Colles fracture if you break your wrist. A Colles fracture can happen when you try to catch yourself when you fall, or from traumas like a car crash. It’s a painful injury that needs treatment at the emergency department. It will take months — possibly a year — for your wrist to heal.
Overview

What is a Colles fracture?
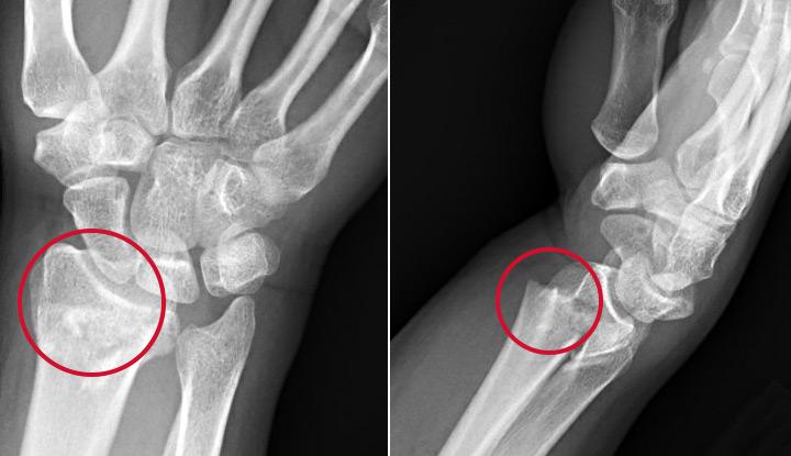
A Colles fracture is a type of broken wrist (fracture). It’s also called a distal (away from the center of the body) fracture with dorsal angulation (an upward angle). A Colles fracture is a very painful and serious injury. Go to your nearest emergency department if you suspect you have any type of wrist fracture.
Colles fractures usually occur after a fall on an outstretched hand. When you reach your hand out to catch yourself in a fall, you might land on the small bones that make up your hand and wrist — especially two bones called the lunate and scaphoid. This contact transfers energy to your radius, one of your two arm bones. The end of the radius near your wrist, called the dorsal end, breaks. This fracture, which typically happens about an inch away from the end of your radius, causes the broken bone to tilt upward.
Who gets a Colles fracture?
Women aged 60 and older with osteoporosis are most likely to get a Colles fracture from a fall. Osteoporosis is a disease that weakens your bones. You might have osteoporosis and not know it, because the disease is often painless. Speak with your healthcare provider about treatments and prevention for osteoporosis.
Other people of all ages might get a Colles fracture not only from a fall but also from trauma sustained from a car crash, skiing, skating, horseback riding, bike riding or contact sports. Take some precautions to protect your wrists, such as wearing a wrist guard.
How common are Colles fractures?
Colles fractures are very common: They are among the most common breaks that healthcare providers encounter. The radius is the most commonly broken arm bone.
What’s the difference between a Colles fracture and a Smith fracture?
A Smith fracture is a reverse Colles fracture. This type of broken wrist has volar angulation (angled to the side) instead of dorsal angulation (angled upwards).
Is a Colles fracture associated with osteoporosis?
You’re more prone to a Colles fracture if you have osteoporosis. If you break your wrist, it might be a sign that you have osteoporosis. Talk to your healthcare provider about whether or not osteoporosis testing is right for you. Treatments can help.
Symptoms and Causes
What causes a Colles fracture?
You might get a Colles fracture if you stretch out your hand to catch yourself in a fall. It can also happen if you experience trauma like a car accident.
A physical trauma might cause mental or emotional trauma as well. Talk with your healthcare provider about any mental or emotional issues — help is available.
What are the symptoms of a Colles fracture?
Breaking your wrist will cause you a great deal of pain and other symptoms, including:
- Bruising.
- Swelling.
- Your wrist might hang at an odd angle.
- Decreased range of motion (you can’t rotate your wrist as far as usual).
How does a Colles fracture look and feel?
When you break your wrist, you’ll feel pain and might notice swelling and bruising. Your wrist might also look bent in an unusual way.
What are the complications of a Colles fracture?
Wrist stiffness is the most common complication. It should get better after your cast has been off for one to two months. Other complications include:
- Compartment syndrome is a painful condition where there’s too much pressure in and around your muscles.
- Malunion is where the bones fail to fuse (come together).
- Median nerve palsy is where the muscles in your hand get paralyzed, and you can no longer flex your thumb or touch it to your fingers.
- Carpal tunnel syndrome, which is a compression of the nerves in your wrist. Symptoms include pain, numbness and weakness in your wrist and hand.
- Reflex sympathetic dystrophy causes burning pain in your arms, legs, hands or feet.
- Secondary osteoarthritis might develop in your wrist. Symptoms include pain and swelling of a deformed joint.
- EPL (the extensor pollicis longus) tendon tear. The EPL tendon stops your thumb from falling against your palm.
Diagnosis and Tests
How is a Colles fracture diagnosed?
Your healthcare providers at the emergency department will take X-rays of your wrist. The X-rays will show any broken bones.
What questions might a healthcare provider ask to assess your injury?
Your healthcare providers will talk to you to get more information about the nature of your injury. They might ask questions like:
- Where is your pain?
- What does your pain feel like?
- How did you injure your wrist?
- What are your symptoms?
- What medications are you on?
- Have you taken any medications yet for the pain?
Management and Treatment
How are Colles fractures treated?
After diagnosis, your healthcare provider should realign and immobilize your broken bones. They’ll move (reset) the broken bones back into their natural positions and use a cast, brace or splint to hold them in place. The plaster cast starts below your elbow and extends to the middle of your fingers. It’s important to keep your cast dry.
You might need surgery if your bones are too out of place. In this procedure, your orthopaedic surgeon moves the bones into the correct position and then uses one or more of the following to keep the bones in place:
- Metal pins.
- Plates.
- Screws.
- An external fixator (a stabilizing frame that’s outside of your body).
Your orthopaedic surgeon will then wrap your arm in a cast.
Are there any at-home treatments for a Colles fracture?
You should go to the emergency department if you think you’ve broken your wrist. You can’t treat a wrist injury like a Colles fracture at home.
Do I need to see a specialist?
After you visit the emergency department, you'll need to follow up with an orthopaedist. An orthopaedist is a healthcare provider who specializes in your bones, ligaments, joints, muscles and tendons. They’ll take more X-rays as necessary and monitor your healing. Report any symptoms so that you get the best treatment.
How long does it take for a Colles fracture to heal?
You’ll wear a cast for about six weeks. Healing time varies from individual to individual — it’s a shorter time for some patients and a longer time for others. It might be a year before your wrist is completely back to the way it was before the fracture.
You might be able to swim and exercise your lower body about one to two months after your healthcare provider removes your cast. Your provider might recommend waiting three to six months before you do anything vigorous like football or skiing.
Can a Colles fracture heal on its own?
A Colles fracture can’t heal correctly without treatment. The bones need realignment and immobilization so that they can heal properly. See a healthcare provider if you suspect that your wrist is broken.
Outlook / Prognosis
What is the outlook for Colles fractures?
You’ll likely return to your regular activities after a Colles fracture, but it might be a year before you’re back to the way you were before the fracture. Follow your healthcare provider’s instructions so that you can return to that state safely.
What are Colles fracture rehabilitation exercises?
Your healthcare provider might suggest physical therapy. Physical therapists help people manage pain, strengthen their bodies and improve movement. They’ll teach you rehabilitation exercises such as:
- Stretching exercises.
- Strengthening exercises.
Can Colles fractures come back after they’re treated?
You could break your wrist bone again. You could have another fall or another type of trauma. Try your best to prevent additional wrist injuries so that you don’t have to endure the pain and healing process again.
Prevention
How can I prevent a Colles fracture?
Preventing a Colles fracture might not be possible, but you can take certain safety precautions to lower your risk of injury, including:
- Wear a wrist guard when you skate.
- Wear wrist armor when you’re on a motorcycle.
- Stay off ladders and avoid other heights.
- Rearrange your home so that there’s nothing to trip over like rugs or small tables.
Falls aren’t always preventable. Do what you can to protect yourself.
Living With
How do I take care of my pain?
Several steps can help you manage your pain, including:
- Elevation where you prop your wrist up above your heart.
- Apply ice,but make sure you have a cloth barrier like a towel or bandana between the ice pack and your skin.
- Take over-the-counter pain medicationslike ibuprofen (Advil®, Motrin®) and acetaminophen (Tylenol®). Talk to your healthcare provider about the correct dosage to take. Be sure to let your provider know if your pain isn’t tolerable.
When should I see my healthcare provider?
Talk to your healthcare provider about when you should return for more X-rays. You should also see them if:
- You can’t move your fingers.
- Your pain gets too severe.
- Your fingers or nails look discolored.
- You feel numbness or tingling in your fingers.
- The range of motion in your fingers has gotten worse.
What questions should I ask my healthcare provider about my Colles fracture?
Try not to leave the emergency department before you get answers to the following questions:
- How long do I have to wear a splint or cast?
- Do I need more X-rays?
- Do I need physical therapy?
- What pain relief medications do you recommend?
- When should I follow up with an orthopaedist?
A note from Wockr
A Colles fracture is a serious injury that causes significant pain. If you sustain a painful wrist injury, you should go to the emergency department for treatment. Your healthcare providers will assess your injury, align your bones and get you into a splint or cast so that you can heal.
Talk to your healthcare providers about osteoporosis. A wrist fracture might mean that you have it. Your providers will answer your questions and discuss further diagnostic tests and treatments if necessary.