Hemispherectomy
A hemispherectomy is a rare surgery that either removes or disconnects half of the brain from the other half. It treats mostly children and some adults who have seizures that don’t respond to medicine. Following the surgery, you’ll be in the hospital for five to seven days and then will go through a period of rehabilitation.
Overview
What is a hemispherectomy?
A hemispherectomy is an operation that partially or completely removes or disconnects half of your child’s brain from the rest of their brain. It’s a rare procedure a surgeon performs in a hospital. Children (and occasionally adults) typically have this procedure for epilepsy that doesn’t respond to medications. In people with this issue, the whole hemisphere is abnormal and responsible for causing seizures.
The “hemi” part of “hemispherectomy” means “half” and refers to the cerebral (brain) hemisphere — half of your brain. You may also hear the surgery called a radical hemispherectomy.
What are the types of hemispherectomies?
There are two types of hemispherectomies: anatomic and functional (disconnective).
- Functional (disconnective): The functional technique involves removing a smaller area of your child’s brain and disconnecting the side from the rest of their brain. It has less risk for complications. Hemispherotomy is a term for removing a small amount of tissue.
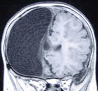
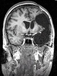
- Anatomic: A surgeon will usually perform an anatomic hemispherectomy if your child has persistent seizures even after a functional (disconnective) hemispherectomy. In an anatomic hemispherectomy, the surgeon removes the frontal, parietal, temporal and occipital lobes of your child’s brain. This procedure has a higher risk for complications. There can be extra blood loss and fluid buildup.
The two types of surgeries have equal success. However, when a functional hemispherectomy doesn’t stop seizures, following up with an anatomic hemispherectomy can lead to freedom from seizure in one-third of children who have the surgery.
What conditions can a hemispherectomy treat?
Your child might need a hemispherectomy if they have these symptoms:
- Seizures (epilepsy) that medication can’t manage.
- Weakness on one side of their body. They can’t use one hand as well as the other, and they might lose their peripheral (not central) vision.
- Abnormal finding on a brain MRI that usually affects one side of their brain.
- Developmental delay because of seizures.
These symptoms can be signs of the following conditions and diseases:
- Malformations of cortical development: These disorders happen when something interferes with how the cerebral cortex develops.
- Perinatal infarction (stroke): This is a stroke that happens during fetal brain development.
- Hemimegalencephaly, also called unilateral (one-sided) megalencephaly: This disorder affects only one side of the brain and makes it larger than the other side.
- Sturge-Weber syndrome: This condition causes blood vessels to grow too much, causing angiomas that can grow in the brain.
- Rasmussen’s encephalitis: This condition affects one-half of your brain and causes seizures because of inflammation.
Your child might have started having seizures and weakness early in life. Their provider may suspect drug-resistant epilepsy and will refer you to a center that specializes in children with seizures.
Procedure Details
How should I prepare my child for this procedure?
Your child’s provider will give you information on what to do before the surgery. This generally involves no food or water after a certain time the day before. They’ll also give you directions on what medications they should take or stop taking.
Your provider or a child life specialist may help you find ways to support your child at this time. You might need words to explain simply what’s going on if your child is old enough to understand.
A provider will wash your child’s hair so that it’s clean. A member of the healthcare team will cut or shave your child’s hair over part of their head.
What happens during a hemispherectomy?
Your child will have general anesthesia so they won’t feel pain during the procedure. During the surgery, their surgeon will:
- Remove part of their skull, a step called a craniotomy.
- Remove part or all the tissue on the side of your child’s brain that isn’t working.
- Disconnect the fibers that connect the two sides of their brain, a step called a corpus callosotomy or a callosotomy.
- Replace the part of their skull that was removed and stitch it back into place.
How long does a hemispherectomy take?
Typically, the procedure takes about five hours, but it can take longer. You may want to have someone waiting with you during the surgery. Usually, you’ll receive updates periodically.
What happens after this procedure?
A healthcare team will monitor your child in the recovery room and later in the intensive care unit (ICU).


Risks / Benefits
What are the benefits of this procedure?
Typically, a hemispherectomy is a successful treatment. Different studies indicate that between two-thirds of children (over 66%) to more than 80% of children who undergo hemispherectomy are completely seizure-free. Most of the rest of the children who have hemispherectomy have fewer seizures after the operation.
If your child has persistent seizures after an initial procedure, your provider will do a careful evaluation to see if they could benefit from a repeat surgery.
The best results seem to happen for children who have few or no seizures after the surgery.
What are the risks or complications of a hemispherectomy?
Most children have excellent long-term results following a hemispherectomy. But occasionally, some complications or negative effects may occur.
Early complications, which can happen during or immediately after the operation, can include:
- Blood loss or bleeding into the empty cavity.
- Electrolyte changes.
- Hypothermia.
- Aseptic meningitis.
- Infections.
One complication that can occur early or later in life is hydrocephalus, or fluid buildup in the brain. This happens in less than 5% of people who have a functional (disconnective) hemispherectomy.
The risk of hydrocephalus is a little bit higher if you have an anatomic hemispherectomy. If hydrocephalus happens, your child will need a shunt to help remove the fluid.
Another complication is excessive blood loss. If this happens, your child might need a blood transfusion.
Recovery and Outlook
How long is the hospital stay after hemispherectomy?
After this epilepsy surgery, your child will spend at least two to three days in the pediatric intensive care unit for close monitoring. Your child will continue to receive antiepileptic medications.
What tests may be performed in the hospital after hemispherectomy?
Your child may have a brain CT or MRI on the first morning after the operation to assess their brain. Caregivers will remove the surgical drains and transfer your child to a regular pediatric nursing floor after the intensive care stay.
Their healthcare team will contact specialists to help your child regain the skills they need for everyday activities and communications. These are specialists in:
An average hospital stay slightly varies among individuals and usually ranges from five to seven days. Their surgical team makes length-of-stay decisions based on your child’s condition and recovery.
What happens after a hemispherectomy?
Upon discharge, children often need rehabilitation services to enhance their recovery from hemispherectomy. Your child may transfer to a rehab facility for intensive physical, occupational and speech therapy.
After that, they usually have home or outpatient services. Hospitals, free-standing facilities and schools can provide outpatient therapy. Check with your individual school system to see if this is a service they provide.
You may wonder what your child’s life will be like after a hemispherectomy. They may need this support after surgery, but the side of their brain that works well has already taken over for the affected side. Outcomes are good for walking, reading and behavioral issues, but some vision loss will happen.
When To Call the Doctor
When should I call my healthcare provider?
Your surgeon will give you information on when you should call or go to the emergency room after a hemispherectomy. You should feel free to call any time you’re concerned about signs or symptoms.
Typically, call your provider or get emergency help if your child:
- Has signs of infection, like a fever, pus or discoloration at the surgery site.
- Has signs of hydrocephalus, including vomiting, headache and changes in behavior.
- Has a seizure.
Additional Common Questions
What is the life expectancy of someone who has a hemispherectomy?
In general, people with epilepsy may have a shorter lifespan, but this isn’t always true. Stopping the seizures with the hemispherectomy is likely to improve quality of life and possibly length of life as well.
A note from Wockr
When someone with repeated seizures can’t get relief from medication, a provider may recommend a hemispherectomy. No provider would give this recommendation lightly. However, the success of the operation is high, and the benefits are considerable. Speak with the members of your child’s healthcare team to learn as much as you can. Ask for help whenever you need it. There are services and providers who’ll work with you before, during and after a hemispherectomy.