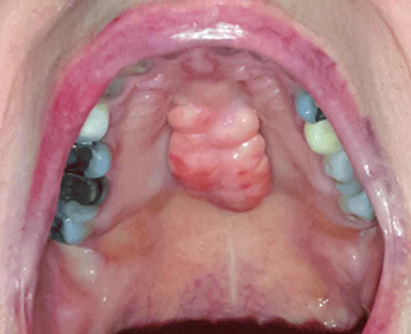
Torus Palatinus (Palatal Tori)
Torus palatinus refers to a bony growth on the roof of your mouth. These growths are harmless, but can be uncomfortable and inconvenient. You can be born with torus palatinus or develop it later in life. Removal isn’t necessary unless the growth causes complications or interferes with speech or swallowing.
Overview

What is torus palatinus (palatal tori)?
Torus palatinus refers to a bony growth on your hard palate (the roof of your mouth). These growths, which vary in size and number, are harmless and generally don’t cause pain. Torus palatinus usually doesn’t require treatment unless it interferes with speech, swallowing or other functions. You might be born with the condition, or you might develop it later in life.
You can get torus (singular) or tori (plural) under your tongue, too — on the floor of your mouth. Healthcare providers call these bony growths mandibular tori (torus mandibularis) because they form on your mandibular (lower) jaw.
How common are oral tori?
Between 20% and 30% of the general population has palatal tori. The condition is more common in females. It’s also more prevalent among certain ethnic groups, including East Asians, Europeans and West Africans.
Symptoms and Causes
What are the symptoms of torus palatinus (palatal tori)?
A torus palatinus almost always forms in the center of your hard palate (the roof of your mouth). You might be born with it, or it might develop gradually over time.
Torus palatinus symptoms may include:
- One or more bony growths (bumps) in the center of your hard palate.
- Difficulty getting a proper fit with mouth guards, retainers, dentures or other dental appliances.
- Food getting stuck around the bony growths.
- Speech difficulties.
- Trouble chewing, swallowing or closing your mouth (rare).
Additionally, many people with palatal tori feel self-conscious about their condition. If you have anxiety about living with torus palatinus, tell your healthcare provider. They can discuss appropriate treatment options with you.
What causes torus palatinus (palatal tori)?
Experts don’t really know what causes palatal tori or why some people are more likely to get them. However, they’ve identified some potential risk factors, which we’ll explore below.
Torus palatinus risk factors
Possible risk factors for torus palatinus include:
- Mouth anatomy. Tooth crowding, jaw shape and the way your teeth fit together may contribute to the presence of palatal tori.
- Teeth grinding (bruxism). People who clench or grind their teeth might be more likely to develop palatal tori.
- Bone mineral density. Higher bone density or changes in your bone density may increase the likelihood of developing palatal tori.
- Age. Most people with palatal tori are over the age of 30.
- Genetics. Research indicates that you’re more likely to develop palatal tori if your biological parents, grandparents or siblings have the condition.
What are the complications of torus palatinus (palatal tori)?
Palatal tori aren’t harmful or dangerous. They don’t mean you have an infection or cancer. But when palatal tori grow very large, or if they develop near other oral structures, they may cause complications, such as:
- Eating or chewing difficulties. Depending on the location and size of the growths, food may become lodged in the area and make it difficult to chew properly.
- Difficulty swallowing. Some people may have trouble swallowing, especially if the growth is near the back of your hard palate.
- Poor oral hygiene. If you have tori near your teeth, it can be difficult to brush and floss properly. This can result in an overgrowth of plaque and bacteria.
- Speech difficulties. If torus palatinus interferes with your tongue’s movement, it could have a negative impact on your speech.
- Discomfort. While most people don’t have pain with palatal tori, these growths may grow so large that you have trouble closing your mouth comfortably.
Diagnosis and Tests
How are oral tori diagnosed?
Palatal tori are usually obvious unless they’re very small. In most cases, a dentist makes the diagnosis during a routine exam.
What tests can help diagnose torus palatinus (palatal tori)?
Testing may not be necessary to diagnose torus palatinus. However, your dentist may take a CT (computed tomography) scan to rule out any other issues.
Management and Treatment
How is torus palatinus (palatal tori) treated?
Healthcare providers don’t usually recommend treatment unless oral tori interfere with function or your quality of life. When necessary, oral surgery is the go-to torus palatinus treatment.
Surgical torus palatinus removal
Oral surgeons usually perform torus palatinus removal. During this procedure, a surgeon will:
- Give you local anesthesia to numb the area. (You can also ask about sedation dentistry options to keep you comfortable.)
- Create a cut (incision) on the roof of your mouth to access the bony growth.
- Remove excess bone.
- Close the incision with stitches.
Complications of torus palatinus removal
Though uncommon, complications are possible. They include:
- Infection.
- Excessive bleeding.
- Swelling that lasts more than a few days.
- Perforating (making a hole) in your nasal cavity.
- Allergic reaction to anesthesia (rare).
How long does it take to recover from torus palatinus removal?
It can take up to one month to fully heal after torus palatinus surgery. To foster a speedy and comfortable recovery:
- Take all medications exactly as prescribed.
- Eat soft foods like yogurt, pasta, applesauce, pudding and mashed potatoes.
- Avoid hard and crunchy foods.
- Keep the surgical site clean with antibacterial mouthwash.
Outlook / Prognosis
What can I expect if I have this condition?
If you have torus palatinus and it’s not interfering with your quality of life, you don’t need to do anything. You should, however, make sure you mention it to your dentist or healthcare provider so they can confirm the diagnosis and rule out other conditions.
Does torus palatinus go away?
No. Once you develop torus palatinus, it won’t go away without surgery.
Can tori grow back after removal?
It’s uncommon, but possible. Most people only need one surgery to remove the bony growth.
Prevention
Can I prevent palatal tori?
There’s nothing you can do to prevent palatal tori. If you have torus palatinus, let your healthcare provider know if you notice any major changes. Addressing issues early can reduce your risk of further complications.
Living With
When should I see my healthcare provider?
Any time you see a new or unusual growth in your mouth, you should let your healthcare provider know. They can confirm the diagnosis and rule out other conditions.
If you’ve been living with torus palatinus, call your provider if:
- You develop new growths.
- The tori grow larger in size.
- The bumps change color.
- The tori on your palate become painful or uncomfortable.
- You develop other symptoms like bleeding or mouth pain.
Additional Common Questions
Is torus palatinus cancer?
No, oral tori aren’t dangerous or cancerous. But if you develop bony growths or bumps on the roof of your mouth, you should tell your dentist or healthcare provider. They can confirm the diagnosis and rule out other conditions.
A note from Wockr
A torus palatinus is a harmless, noncancerous, bony growth on the roof of your mouth. You’re probably used to it if you were born with it. But it may feel alarming or worrisome if you develop it later in life. Palatal tori aren’t a cause for concern, and you don’t need to do anything about them unless they interfere with your quality of life. If they start to hinder the way you speak, chew or swallow, it’s time to tell your dentist. They can refer you to an oral surgeon for appropriate treatment.